Rescatan en Dalías a una gata herida con un perdigón en la columna vertebral
Se está investigando este grave hecho de maltrato animal

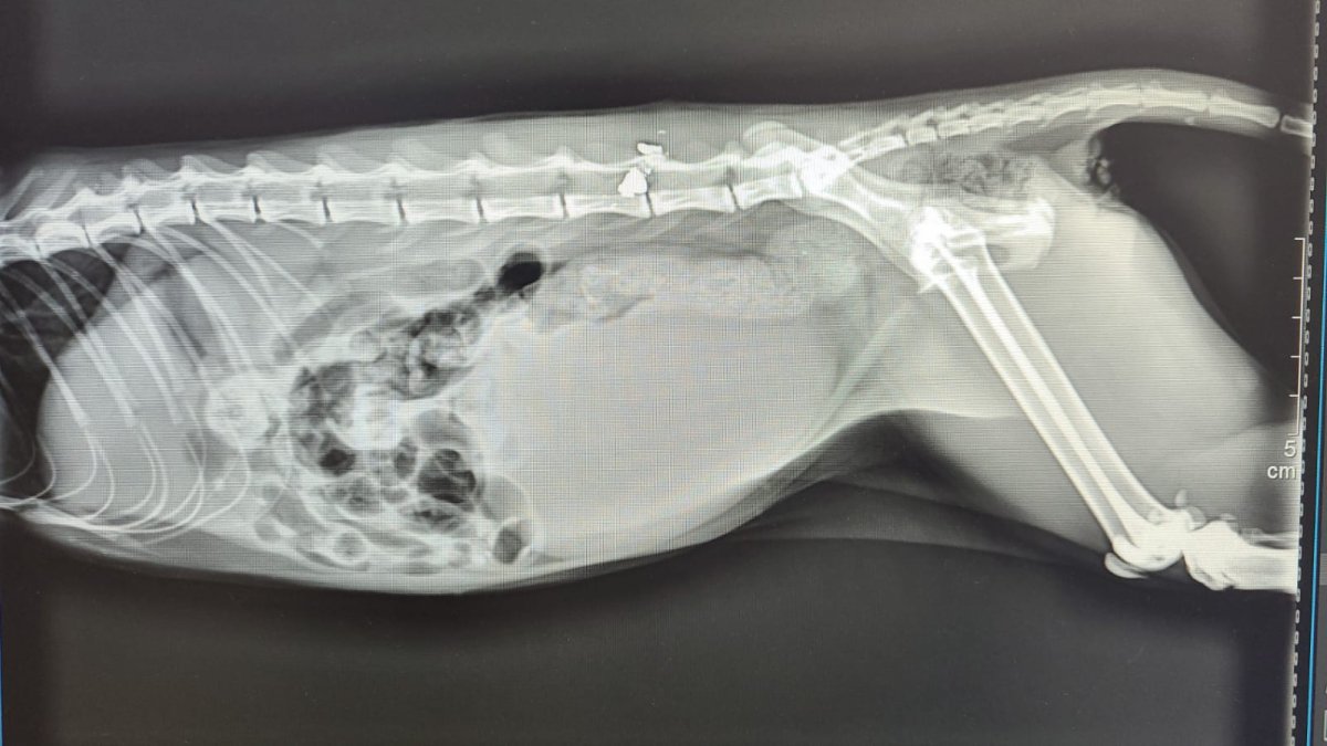
Radiografía del animal.
La Policía Local de Dalías, con la colaboración del Guarda Rural, están llevando a cabo una investigación sobre la aparición de una gata herida con un perdigón. Este grave hecho, “artículo 337 del Código Penal, castiga a aquella persona que por cualquier medio o procedimiento maltrate injustificadamente, causándole lesiones que menoscaben gravemente su salud a un animal doméstico o amansado con penas de incluso cárcel”, detalla el Jefe de la Policía Local de Dalías, Sergio Suárez.
Por su parte, Agustín Salas, Guarda Rural, explica que, “la pasada noche una voluntaria del Voluntariado Animal de Dalías, asociación que lucha por la defensa de los animales, rescataba una gata herida en la vía pública.
El animal fue trasladado de inmediato a una clínica veterinaria donde, tras realizarle todas las pruebas médicas, estas concluían que se trataba de una grave lesión ocasionada por un balín en la columna vertebral. Algo que demuestra la poca humanidad de las personas que realizan este tipo de actos y que debemos vigilar”.
Desde la Policía Local ya se está investigando este caso y recuerdan que “esta legislación establece penas de prisión de tres meses a un año para las personas que cometen el delito. También se procederá a la inhabilitación para el ejercicio de la profesión, oficio o comercio relacionado con animales y para la tenencia de animales. La ley protege a los animales y en caso de muerte, la prisión será de entre 6 a 18 meses e inhabilitación de hasta cuatro años, por lo que pedimos a los vecinos que denuncien sin contemplaciones este tipo de actos”.
Asimismo, los agentes informan de que en las próximas fechas se va a llevar a cabo “una campaña de control de documentación sobre los animales de compañía, recordando que es obligatorio estar con su vacuna anual de la rabia y portar microchip, como establece la ley”, concluyen.